- Official Name: SiaFind™ Alpha 2,3-Specific Lectenz® Kit
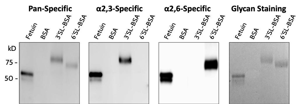
- Specificity: The reagent is designed for the detection, separation, or enrichment of sialoglycans terminating in Neu5Acα2,3Gal commonly found in glycoconjugates. It has high affinity and specificity towards α2,3 linked sialic acids on glycans. However, it does not bind effectively to branched sialylated epitopes such as sialyl Lewis A/X.
- Application: ELISA, WB, IP, IHC, Flow
- Tag: 6x His tag at N-term
- Conjugate: Selected from Biotin or SureLight™ 488
- Content: Purified lyophilized powder
- Storage Buffer: 50 mM EPPS, 100 mM NaCl, pH 7.5
- Storage: -20 °C as powder. Once reconstituted, 4 °C for five days or -20 °C for up to six months.
立即詢價


